고령의 나이를 가진 사람이 증가하는 이 시대에 행복한 노년의 삶을 보내려면 무엇보다도 무릎의 건강이 가장 중요합니다. 특히, 건강에 유의하기 위해 고령의 분들이 가장 많이 겪고 있는 질환 중의 하나는 퇴행성관절염으로, 퇴행성관절염은 한번 진행이 되면 피할 수 없지만, 초기에 치료를 하면 최대한 진행되는 속도를 늦출 수가 있습니다.
무릎 내 연골이 손상되어 시간이 지날수록 점차 닳아 없어지면서 연골에 덮여있던 뼈가 노출되고, 직접 맞닿으면서 무릎통증과 변형, 보행 장애를 일으키는 퇴행성 무릎 질환입니다.


무릎관절염은 무릎에 염증이 발생하여 통증을 유발하는 모든 질환을 통칭하는데 통상적으로는 무릎관절을 이루는 연골의 손상에서 시작되어 연골판, 인대 등이 함께 손상되고, 관절막에 염증이 생기면서, 뼈가 무르고 약해지며, 가시뼈가 자라나게 되면서 점차 무릎에 통증 및 변형, 보행 장애 등이 생기는 질환입니다.
주요 증상으로는 무릎통증 특히, 체중이 많이 실리는 내측부에 집중되어 보행이나 앉았다 일어날 때마다 찌릿찌릿 쑤시는 통증과 좌우가 차이가 날 정도의 무릎 모양의 변형이나 붓기 등이 생기며, 무리하거나 활동이 많을 때는 무릎전체에 열감과 부종, 삼출액 고임 등이 생기고 쉬면 나아지기를 반복하게 됩니다. 점차 무릎의 운동범위가 감소되며, 완전히 펴거나 구부리기, 쪼그려 앉기가 안 되며, 오다리 형태로 변형되어 무릎이 점차 휘어지게 되어 걸을 때 마다 힘이 빠지는 느낌까지도 생길 수 있습니다.
무릎연골은 약 3~4mm의 두께로 무릎의 뼈를 감싸주는 구조로 충격을 완화시키는 일종의 쿠션 같은 역할과 관절의 움직임을 원활하게 하는 윤활막 같은 역할을 합니다.
심한 충격이나 구조적인 이상, 퇴행성변화 등으로 연골이 손상되거나 닳아 있는 상태를 말하며, 연골은 스스로 치유되거나 재생되지 않기 때문에 상한 연골상태가 지속과 악화가 되면서 퇴행성관절염으로 진행을 하게 됩니다.



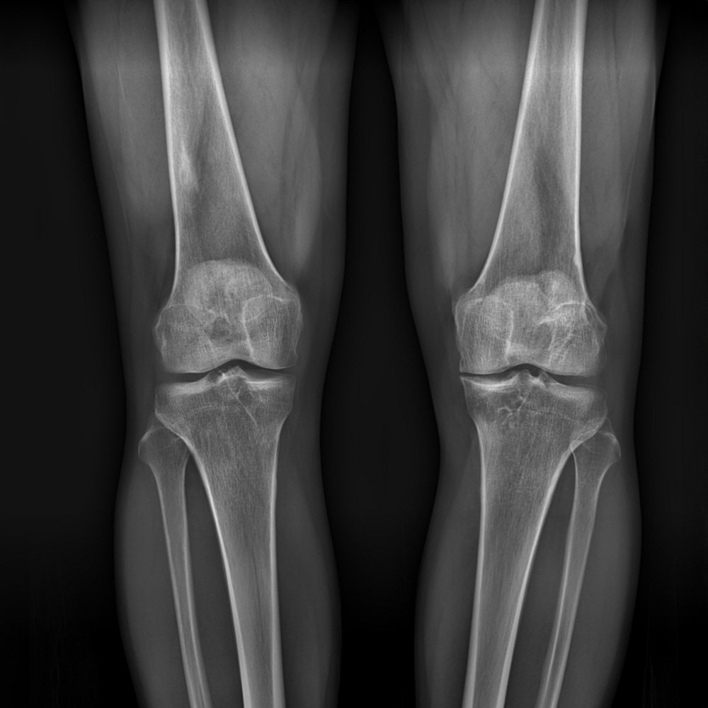
(KL Grade 1)

(KL Grade 2)

(KL Grade 3)

(KL Grade 4)
무릎 엑스레이 검사를 통해 관절염의 진행단계를 평가하는 방법으로 초기, 중기, 후기, 말기의 4단계로 나누어 진단하는 방법으로 방사선 사진 상 관절부위의 이상골격(관절간격 유지여부, 골극 형성, 연골하 경화소견 등)을 나타내는 평가지표이며, Grade III이상은 중등도 이상의 손상이 있음을 의미합니다.
KL Grade 1
임상적으로 의심스러운 퇴행성관절염 및 미미한 골 증식이 보임
KL Grade 2
경도 퇴행성관절염. 관절간격이 유지는 되나 골극이 형성되는 단계
KL Grade 3
중증도 퇴행성관절염, 골 증식이 grade2 에 비해 뚜렷하며 골극형성뿐 아니라 연골 마모에 의해 관절간격도 좁아지게 되는 단계
KL Grade 4
심각한 퇴행성관절염으로 연골이 거의 다 닳아 관절간격이 소실되어 뼈끼리 맞닿게 되고 연골하 경화 및 다량의 골극형성이 되는 마지막 단계
관절상태
연골 손상이 경미한 상태
치료목적
염증제거, 재발방지
치료방법
체중감량, 근력운동, 약물치료, 물리치료, 도수치료, 프롤로치료
관절상태
연골과 뼈가 닳기 시작을 하면서 뼈 돌기가 자라나고 관절간격이 좁아지는 상태
치료목적
염증제거, 연골재생, 재발방지
치료방법
프롤로치료, 관절내시경(미세천공술, 자가연골재생술, 줄기세포치료술), 휜다리 교정술
관절상태
연골이 모두 소실되어 뼈와 뼈가 직접 맞닿는 상태
치료목적
기능을 잃은 관절을 새로운 관절로 만들어줌
치료방법
인공관절 부분치환술, 인공관절 전치환술
무릎관절 내측면 절반만 관절염이 있을 때, 해당 구획만 인공관절로 바꿔주는 방법입니다. 무릎의 구조상 주로 안쪽 관절면의 퇴행성관절염이 발생하며, 바깥쪽 연골은 상대적으로 잘 유지되는 경우가 많습니다. 이런 상황에서 마모가 진행된 안쪽면 절반만 부분인공관절로 교체하고, 다른 구획의 구조물은 본인의 것을 유지하는 치료법이 ‘무릎 인공관절 반치환술(부분치환술)입니다.
최소피부절개(10cm 이하)로 손상된 무릎관절의 일부를 제거하고, 내측면만 인공관절로 바꿔주는 치료법으로 기존의 전치환술에 비해 회복속도가 빠르며, 수혈이 필요없고, 입원기간이 짧습니다. 관절의 움직임이 자유롭다보니 수술후 무릎을 강제로 꺾는 재활치료가 필요없으며, 다른 구획들의 연골,인대,연골판 등을 손상없이 보존함으로 정상적인 무릎관절로 회복이 가능하며, 일상생활로의 복귀도 빠릅니다.
수술후 움직임이 자유롭다보니 걷기, 쪼그리기, 양반다리, 계단오르내리기 등 일생생활이나 직업수행이 가능하여, 스포츠 및 여가 활동(자전거, 골프, 탁구, 테니스, 볼링, 수영, 댄스, 필라테스, 요가, 등산 등) 및 직업활동(사무직, 노동직, 농업, 어업, 산림업 등)과 같은 적극적인 활동도 가능하다는 장점이 있습니다.
인공관절 부분치환술의 과정을 이해하기 위한 영상입니다.
61세 여성 ㅣ 퇴행성관절염 ㅣ 인공관절부분치환술


증 상
우측 무릎 내측부에 국한된 통증으로 걷거나 계단 오르내릴 때 통증이 심함. 해당부위를 누르면 아프고, 통증이 심할 때는 약물치료, 주사치료를 병행하며 지내옴. 최근들어서는 무릎이 붓고, 통증이 심해지며, 화끈거리는 열감까지 생김. 쭈그려 앉기 힘들고, 양반다리가 안되며 앉았다 일어설 때 통증이 심해짐. 동네의원에서 연골주사, DNA주사, 콜라겐 주사, 스테로이드주사 및 충격파, 도수치료 등을 꾸준히 했으나 증상차도가 없어 내원함.
치료
검사상 내측부에 국한된 퇴행성관절염으로 다른 구획은 연골상태가 양호하여 내측부 인공관절 반치환술(부분치환술)을 시행함.
경과


증 상
걷거나 쭈그릴 때 좌측 무릎 내측부에 심한 통증이 발생. 예전에 무릎을 심하게 다친적 있음. 이후로 지속적인 통증으로 인해 꾸준히 치료를 하였으나 증상호전되지 않아 시행한 정밀검사상 연골판 파열을 동반한 내측부 외상성 퇴행성관절염으로 진단받음. 꾸준한 치료에도 차도가 없고, 더 통증이 심해짐. 계단 내려갈 때랑 쭈그려 앉을 때 통증이 심하며, 내측부뿐만 아니라 오금 쪽에도 통증이 심해짐.
치료
정밀검사에서 내측부 외상성 퇴행성 관절염과 연골판 파열이 관찰됨. 십자인대손상은 없었으며, 다른 구획에 관절염 소견도 없어 내측부 인공관절 반치환술(부분 치환술)을 시행함.
경과
하반신 마취 및 수면 유도하여 40분정도 수술을 진행함. 수술 후 다음날부터 바로 보행기 없이 자가 보행이 가능해짐. 수술후 4일정도의 입원기간동안 CPM 등 재활치료를 시행하였으며, 통증이 호전되고, 수술상처와 피검사 결과가 양호하여 퇴원함. 수술 후 2주째 내원하여 실밥을 제거하였으며 이후 샤워를 진행함. 수술전에 비해 계단 내려가기 쭈그리기 할 때 통증이 사라졌으며, 오래 서거나 걸어도 통증이 없고, 무릎 움직임에도 제한이 없어 일상생활이 바로 가능할 정도로 회복한 치료사례.
목발 없이 보행이 가능하며, 수술 후 다음날부터 관절운동을 시작합니다
실밥을 제거하고 샤워가 가능합니다.
반치환술이 가능한지 판단하기 위해서는 MRI와 같은 정밀검사를 통해 연골 손상과 마모상태를 파악하며, 다른 구획에 문제가 없는지 확인하며, 전방십자인대나 측부 인대, 외측 반월상 연골판의 손상여부를 함께 확인하게 됩니다. 전치환술과 달리 반치환술(부분 치환술)의 경우, 손상된 구획만을 인공관절로 교체하며 그 외 십자인대 및 측부인대 다른 구획의 관절의 상태가 정상적이라 수술후에도 훨씬 더 부드러운 움직임이 가능하고 회복도 빠르며, 스포츠 활동이나 여가활동, 직장생활 등이 가능하여, 정상적인 관절로 생활할 수 있습니다.
말기 퇴행성관절염에서 무릎 연골손상이 심하여 비수술적 치료를 꾸준히 시행했음에도 불구하고 증상이 호전되지 않고, 지속적인 통증으로 인해 일상적인 생활에 큰 지장을 초래하거나, 혼자 걸어서 화장실 가기도 힘든 경우라면 닳고 벗겨져서 기능을 상실한 관절면을 제거하고 새로운 관절(인공관절)로 교체(치환)해주는 수술적 치료가 필요합니다.
인공관절 치환술은 연골이 손상되고 닳아 없어진 관절면의 일부를 제거하고, 인체에 거부반응이 없는 특수합금과 폴리에틸렌 소재로 이루어진 치환물을 삽입하여 무릎관절의 기능을 정상적으로 회복시키는 치료법입니다.
무릎은 스스로 서 있고, 이동을 할 때 가장 많이 사용하고 의지하는 관절로 인공관절 치환술이 필요할 정도의 말기 관절염 환자분들의 경우에는 기초적인 일상생활(보행, 서있기, 화장실 출입 등)을 유지하기에도 어려울 정도로 심한 통증으로 힘들어 하는 경우들이 많습니다.
이런 경우, 자연스럽게 해왔던 기본적인 활동들을 할 수 없게 되면서 결국 집안에서만 고립된 생활을 하게 되고, 이로 인해 점차 우울증까지 겪게 되는 경우도 발생하고 있어 말기 퇴행성관절염은 더 이상 참고 견뎌야 할 질환이 아니라 인공관절 치환술을 통해 새로운 관절로 교체한다면 새로운 인생을 다시 시작할 수 있게 되는 것입니다.
과거와 달리 현재에는 인공관절의 성능과 수명이 상당히 개선되어 평생, 단 1회의 수술로 거의 영구적으로 사용을 하고 있는데 환자분의 활동량에 따라 다소 차이는 있겠지만, 대략 수술 환자의 90%이상이 20 ~ 30년 이상 재수술 없이 아프지 않고 편안한 일상생활을 잘 영위해나가고 있습니다.
무릎관절면은 3부위의 관절이 존재하는데 서거나 걸을 때 주로 체중이 실리는 안쪽 면과 바깥쪽면이 있고, 앉았다 일어나거나 무릎을 굽혔다 펼 때 힘을 받쳐주는 앞부위(대퇴-슬개관절)면이 있는데 인공관절 전치환술의 경우, 앞쪽을 포함한 안쪽과 바깥쪽 모두를 인공관절로 바꿔준다는 것을 뜻합니다.
63세 여성 ㅣ 퇴행성관절염 ㅣ 인공관절 전치환술


증 상
오래된 양 무릎 통증으로 그동안 아플 때마다 주사치료,약물치료를 시행함. 최근에는 약물치료, 주사치료에도 차도가 없이 지속적으로 무릎통증이 발생하며, 쉴 때도 통증이 생김. 조금만 걸어도 아파서 무릎에 손이 가며, 활동하기 힘들어 절뚝거리며 걷거나 보행기에 도움을 받음.
치료
검사상 켈그렌 로렌스 4단계로 퇴행성관절염 말기에 해당. 그동안 꾸준하고, 지속적인 보존적 치료에도 차도가 없어 양쪽 인공관절 전치환술 시행함.
경과
하반신마취, 수면유도하에 1시간정도의 수술시간이 소요됨. 한쪽 인공관절수술후 다음날부터 보행을 바로 시작하며, CPM운동기구를 통한 재활치료를 병행함. 1주뒤 반대편 인공관절 수술을 시행하였으며, 총 입원기간은 3주정도 소요되었음.(한쪽 수술 후 실밥제거까지 2주정도 시간이 소요되며, 병원에서 실밥제거후 퇴원시 2주정도 입원기간이 소요되며, 피검사나 수술상처가 양호하면 수술후 1주째도 퇴원이 가능함). 관절재활운동은 집에서 시행하였으며 통증없이 잘 회복함.
퇴행성관절염 말기 환자의 근본적 치료법 : 관절면을 인공구조물로 교체해 통증 없이 생활할 수 있도록 관절을 만들어 줌.
휜 다리를 함께 교정함 : 인공관절을 삽입 시, 삐뚤어졌던 체형과 O자 다리를 정상상태로 함께 교정할 수 있음.
관절면의 마모가 심할 때(KL3~4) 적용시킬 수 있음.
정상관절과 같이 운동성이 향상되고 연골손실이나 수축된 인대도 교정됨.
수술 후, 다음날부터 바로 걷는 연습을 시작하며 다리 구부리기를 위한 지속성 수동적 관절운동(CPM) 재활 시작
목발이나 보행기에 의지해 걷는 연습을 꾸준하게 하며, 관절재활운동을 병행
실밥을 제거하고 퇴원. 샤워가능하며, 탕목욕은 1달째 가능
| 무릎 인공관절 전치환술(TKA) | 무릎 인공관절 반치환술(UKA) | |
| 주요통증부위 | 무릎 내/외측 혹은 앞쪽 심한 통증 | 무릎 내측 심한 통증 |
| 치료대상 | 무릎관절 내측,외측 또는 앞쪽이 전층 손상되고 약물치료,주사치료 등 꾸준한 보존적 치료에도 호전되지 않고 극심한 통증이 지속되는 말기 퇴행성 무릎 관절염 환자 | 무릎관절 내측부위가 전층 손상된 말기 퇴행성 무릎 관절염 환자 |
| KL grade ICRS grade | KL grade 3~4단계 / ICRS 4단계 | KL grade 3~4단계 / ICRS 4단계 |
| 치료연령 | 65세이상으로 활동량이 비교적 적으며 재수술 부담이 큰 경우 | 50~60대 이상 비교적 활동량이 많고 본인의 관절을 최대한 유지하고 싶은 경우 |
| 치료적용 | 1. 퇴행성관절염이 심하게 진행된 경우 2.다리가 심하게 휜경우(심한 "O"자형 내반변형) 3. 십자인대나 연골판이 함께 손상된 경우 4. 관절이 다 펴지거나 굽혀지지 않는 경우 | 1. 인대기능이 정상이고 외측에 통증이 없는 경우 2. 무릎변형이 심하지 않은 경우 3. 무릎관절 내측을 제외한 부위의 퇴행성관절염 진행정도가 심하지 않은 경우 4. 비교적 젊은 나이에 손상이 온 내측 관절염 환자인 경우 |
| 치료내용 | 1.피부 광범위 절개 2. 손상된 연골, 인대, 뼈 제거 3. 인공관절을 적절한 위치에 삽입 4. 절개한 피부 봉합 | 1. 적은 수술부위 피부 절개 2.내측부 연골,연골판,자라난 뼈 제거 3.인공관절을 적절한 위치에 삽입 4.절개한 피부 봉합 |
| 치료특징 | 연골,인대, 망가진 관절면 뼈 등을 모두 제거한 후 관절 전체를 인공관절로 교체함 | 손상이 없는 인대 및 연골판, 힘줄 등의 주변조직 및 외측 관절연골은 정상유지하며 손상된 부위 내측부만 인공관절로 교체함 |
| 치료시간 | 약 1시간 내외 (골절제가 동반되어 수혈이 필수) | 30분 내외로 수술시간이 짧고 출혈이 적어 수혈이 필요치 않음 |
| 절개법 | 광범위 절개 약 10cm / 치료 후 봉합 필요 | 무릎 전내측(앞안쪽) 부분절개 약 7cm |
| 회복기간 | 하반신 마취,수면유도 •입원기간 : 4박 5일 •실밥제거 : 2주 후 수술 후 다음날부터 자가보행이 가능함 | 하반신 마취,수면유도 •입원기간 : 3박 4일 •실밥제거 : 2주 후 일반적으로 수술 2주후면 거의 회복. 수술 후 다음날부터 자가보행이 가능함 |
| 치료장점 | •재수술률이 낮음(약 5% 미만) •퇴행성 관절염 말기 환자의 근본적 치료법 (관절구축 및 각변형이 동반되고 꾸준한 보존적 치료에도 증상 호전이 없는 경우) | •슬개대퇴관절 및 외측관절은 유지함 • 인대, 힘줄 등 본인의 관절, 주변조직은 최대한 보존하며 손상된 내측 부분만 인공관절로 부분교체 •전치환술 대비 절개부가 작아 통증이 적음 •골손실이 적고 출혈이 적어 수혈이 필요치 않음 •수혈 합병증 염려가 없음 •절개부가 적어 수술 후 빠른 회복 및 재활운동 가능 • 관절의 운동기능이 자연스러움 (쪼그리기,양반다리,무릎꿇기 가능) • 구부리고 펴는 재활운동이 필요없음 |
의료진소개
병원둘러보기
찾아오시는길
병원소식
어깨
허리
무릎
목
손목, 손
팔꿈치
발목, 발
생활외상센터
어깨
척추
무릎
관절
도수·재활
내과
의료진 상담
예약 안내
치료후기
어깨
허리
무릎
목
손목, 손
팔꿈치
발목, 발
생활외상센터
어깨
척추
무릎
관절
도수·재활
내과
간편 예약은 실시간 예약이 아니며 예약 담당자와 상담 후 최종 예약이 진행되므로, 반드시 연락 가능한 휴대폰 번호를 남겨주세요